CD319 Mouse Monoclonal antibody[5G5A4]

AccuSift
SLAMF7; 19A; CS1; CRACC
SKU Name Unit Price Delivery QTY
AC1672 CD319 Mouse Monoclonal antibody[5G5A4] 100ug $367 10days
AC1672 CD319 Mouse Monoclonal antibody[5G5A4] 200ug $660.6 10days

"Self-ligand receptor of the signaling lymphocytic activation molecule (SLAM) family. SLAM receptors triggered by homo- or heterotypic cell-cell interactions are modulating the activation and differentiation of a wide variety of immune cells and thus are involved in the regulation and interconnection of both innate and adaptive immune response. Activities are controlled by presence or absence of small cytoplasmic adapter proteins, SH2D1A/SAP and/or SH2D1B/EAT-2. Isoform 1 mediates NK cell activation through a SH2D1A-independent extracellular signal-regulated ERK-mediated pathway (PubMed:11698418). Positively regulates NK cell functions by a mechanism dependent on phosphorylated SH2D1B. Downstream signaling implicates PLCG1, PLCG2 and PI3K (PubMed:16339536). In addition to heterotypic NK cells-target cells interactions also homotypic interactions between NK cells may contribute to activation. However, in the absence of SH2D1B, inhibits NK cell function. Acts also inhibitory in T-cells (By similarity). May play a role in lymphocyte adhesion (PubMed:11802771). In LPS-activated monocytes negatively regulates production of proinflammatory cytokines (PubMed:23695528).
Isoform 3 does not mediate any NK cell activation."



Aliases:    SLAMF7; 19A; CS1; CRACC    

Entrez GeneID :   57823    

Swissprot:    Q9NQ25    

WB Predicted band size:    37.4kDa    

Host/Isotype:    Mouse IgG1    

Species Reactivity:    Human    

Immunogen:    Purified recombinant fragment of human CD319 (AA: extra 23-226) expressed in E. Coli.    

Operation

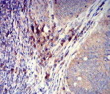
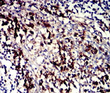
IHC    1/200 - 1/1000    

FCM    1/200 - 1/400    

ELISA    1/10000    

References