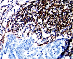
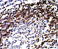
CD180 Mouse Monoclonal antibody[1B3C4]

AccuSift
LY64; Ly78; RP105
SKU Name Unit Price Delivery QTY
AC1540 CD180 Mouse Monoclonal antibody[1B3C4] 100ug $367 10days
AC1540 CD180 Mouse Monoclonal antibody[1B3C4] 200ug $660.6 10days

CD180 is a cell surface molecule consisting of extracellular leucine-rich repeats (LRR) and a short cytoplasmic tail. The extracellular LRR is associated with a molecule called MD-1 and form the cell surface receptor complex, RP105/MD-1. It belongs to the family of pathogen receptors, Toll-like receptors (TLR). RP105/MD1, by working in concert with TLR4, controls B cell recognition and signaling of lipopolysaccharide (LPS), a membrane constituent of Gram-negative bacteria.



Aliases:    LY64; Ly78; RP105    

Entrez GeneID :   4064    

Swissprot:    Q99467    

WB Predicted band size :   74.2kDa    

Host/Isotype:   Mouse IgG1    

Species Reactivity:    Human    

Immunogen :   Purified recombinant fragment of human CD180 (AA: extra 24-185) expressed in E. Coli.    

Operation

IHC    1/200 - 1/1000    

IF/ICC    1/200 - 1/1000    

FCM    1/200 - 1/400    

ELISA    1/10000    

References