CD177 Mouse Monoclonal antibody[2F289]

AccuSift
NB1; PRV1; HNA2A; PRV-1; HNA-2a; NB1 GP
SKU Name Unit Price Delivery QTY
AC1533 CD177 Mouse Monoclonal antibody[2F289] 100ug $367 10days
AC1533 CD177 Mouse Monoclonal antibody[2F289] 200ug $660.6 10days

This gene encodes a glycosyl-phosphatidylinositol (GPI)-linked cell surface glycoprotein that plays a role in neutrophil activation. The protein can bind platelet endothelial cell adhesion molecule-1 and function in neutrophil transmigration. Mutations in this gene are associated with myeloproliferative diseases. Over-expression of this gene has been found in patients with polycythemia rubra vera. Autoantibodies against the protein may result in pulmonary transfusion reactions, and it may be involved in Wegener's granulomatosis. A related pseudogene, which is adjacent to this gene on chromosome 19, has been identified.



Aliases:    NB1; PRV1; HNA2A; PRV-1; HNA-2a; NB1 GP    

Entrez GeneID:    57126    

Swissprot :   Q8N6Q3     

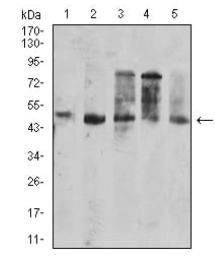
WB Predicted band size:    46.4kDa    

Host/Isotype:    Mouse IgG2b    

Species Reactivity:    Human    

Immunogen :   Purified recombinant fragment of human CD177 (AA: extra 22-161) expressed in E. Coli.    

Operation

WB    1/500 - 1/2000    

FCM    1/200 - 1/400    

ELISA    1/10000    

References