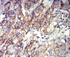
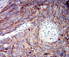
CD166 Mouse Monoclonal antibody[3F1]

AccuSift
MEMD; ALCAM
SKU Name Unit Price Delivery QTY
AC1519 CD166 Mouse Monoclonal antibody[3F1] 100ug $367 10days
AC1519 CD166 Mouse Monoclonal antibody[3F1] 200ug $660.6 10days

This gene encodes activated leukocyte cell adhesion molecule (ALCAM), also known as CD166 (cluster of differentiation 166), which is a member of a subfamily of immunoglobulin receptors with five immunoglobulin-like domains (VVC2C2C2) in the extracellular domain. This protein binds to T-cell differentiation antigene CD6, and is implicated in the processes of cell adhesion and migration. Multiple alternatively spliced transcript variants encoding different isoforms have been found.



Aliases:    MEMD; ALCAM    

Entrez GeneID:    214    

Swissprot :   Q13740      

WB Predicted band size :   65kDa    

Host/Isotype:    Mouse IgG1    

Species Reactivity:    Human    

Immunogen :   Purified recombinant fragment of human CD166 (AA: extra 227-381) expressed in E. Coli.    

Operation

WB    1/500 - 1/2000    

IHC    1/200 - 1/1000    

FCM    1/200 - 1/400    

ELISA    1/10000    

References