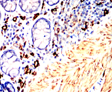
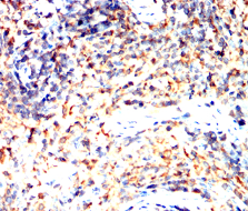
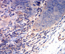
CD163 Mouse Monoclonal antibody[7G5E2]

AccuSift
M130; MM130; SCARI1
SKU Name Unit Price Delivery QTY
AC1516 CD163 Mouse Monoclonal antibody[7G5E2] 100ug $367 10days
AC1516 CD163 Mouse Monoclonal antibody[7G5E2] 200ug $660.6 10days

The protein encoded by this gene is a member of the scavenger receptor cysteine-rich (SRCR) superfamily, and is exclusively expressed in monocytes and macrophages. It functions as an acute phase-regulated receptor involved in the clearance and endocytosis of hemoglobin/haptoglobin complexes by macrophages, and may thereby protect tissues from free hemoglobin-mediated oxidative damage. This protein may also function as an innate immune sensor for bacteria and inducer of local inflammation. Alternatively spliced transcript variants encoding different isoforms have been described for this gene.



Aliases:    M130; MM130; SCARI1    

Entrez GeneID:    9332    

Swissprot:    Q86VB7    

WB Predicted band size :   125.4kDa    

Host/Isotype:    Mouse IgG1      

Species Reactivity:    Human,Mouse,Rat,Rabbit,Monkey    

Immunogen:    Purified recombinant fragment of human CD163 (AA: extra 42-259) expressed in E. Coli.    

Operation

WB    1/500 - 1/2000    

IHC    1/200 - 1/1000    

FCM    1/200 - 1/400    

ELISA    1/10000    

References