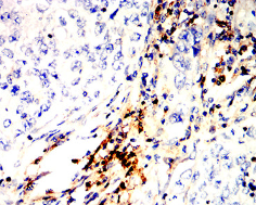
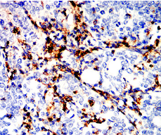
CD162 Mouse Monoclonal antibody[3D5H1]

AccuSift
CLA; PSGL1; PSGL-1
SKU Name Unit Price Delivery QTY
AC1515 CD162 Mouse Monoclonal antibody[3D5H1] 100ug $367 10days
AC1515 CD162 Mouse Monoclonal antibody[3D5H1] 200ug $660.6 10days

This gene encodes a glycoprotein that functions as a high affinity counter-receptor for the cell adhesion molecules P-, E- and L- selectin expressed on myeloid cells and stimulated T lymphocytes. As such, this protein plays a critical role in leukocyte trafficking during inflammation by tethering of leukocytes to activated platelets or endothelia expressing selectins. This protein requires two post-translational modifications, tyrosine sulfation and the addition of the sialyl Lewis x tetrasaccharide (sLex) to its O-linked glycans, for its high-affinity binding activity. Aberrant expression of this gene and polymorphisms in this gene are associated with defects in the innate and adaptive immune response. Alternate splicing results in multiple transcript variants.



Aliases:   CLA; PSGL1; PSGL-1    

Entrez GeneID:    6404    

Swissprot:    Q14242    

WB Predicted band size :   43.2kDa    

Host/Isotype :   Mouse IgG1    

Species Reactivity :   Human    

Immunogen:    Purified recombinant fragment of human CD162(AA: 42-320) expressed in E. Coli.    

Operation

IHC    1/200 - 1/1000    

FCM    1/200 - 1/400    

ELISA    1/10000    

References